
胚胎着床这件事,表面看是“放进去、怀上”两步,实际上是胚胎和内膜的一场双向奔赴。胚胎需要发育潜能好、染色体正常、有继续生长的能力。内膜需要厚度适中、血供充足、质地松软、处于“愿意接纳”的状态。两者缺一不可!

很多人反复移植失败,胚胎查过了没问题,那问题多半就出在内膜上。不是内膜不够好,是移植的时候,它刚好不在“愿意接纳”的状态。这个状态,医学上叫“着床窗口期”——一个窄窄的时间窗口,通常只有24-48小时。窗口期内膜容受性高,胚胎容易扎根。窗口一关,再好的胚胎放进去,也留不住。
理想的内膜,长什么样?
1.厚度要在8-12毫米之间

这个数值不是凭空定的,是临床数据筛出来的。内膜太薄,营养供应不上,胚胎扎不下根;内膜太厚,里面可能藏着息肉、腺体增生,反而影响着床。
8-12毫米,是大多数研究认为的理想范围。但不是绝对,有人7毫米也成了,有人12毫米反复失败。厚度只是指标之一,还要看其他条件。
2.血流要丰富
胚胎着床后,要靠母体供血来获取氧气和营养。内膜血流量够不够,B超下能看个大概。血流信号丰富的内膜,容受性更好。
3.质地要松软

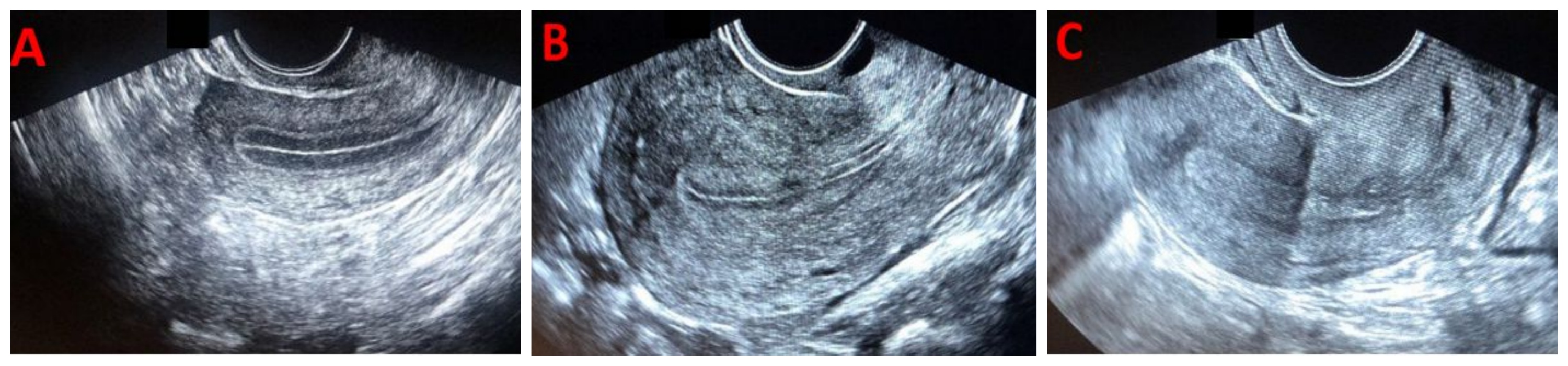
B超下看内膜,分ABC型。A型是典型的“三线征”,内膜功能层和基底层分界清晰,质地松软,是着床的理想状态。B型次之,C型差,内膜回声增强、质地偏硬,胚胎不容易钻进去。
4.细胞分裂要活跃
内膜在月经周期里不断生长、分泌、脱落。移植窗口期对应的,是分泌中期。这个阶段内膜细胞分裂活跃、腺体分泌旺盛,能为胚胎提供充足的“养料”。
移植前,内膜怎么调理?
如果内膜没达标,不急,有办法。
1.生活习惯打底

规律作息是一位。每天睡够7小时,不熬夜,身体才有时间修复。熬夜直接扰乱内分泌,内膜长不起来。
饮食方面,美国HRC Fertility专家常推荐“地中海饮食法”——多吃蔬菜、水果、全谷物、鱼类、坚果、橄榄油,少吃红肉和甜食。这种饮食结构被多项研究证实能改善卵子质量、维护子宫内环境。
2.药物干预跟上

如果内膜厚度不够,可以用雌激素类药物促进内膜生长。剂量、用药时间,医生会根据B超结果动态调整。
如果血流不好,可以用一些改善微循环的药物,让血液流得更顺畅。
3.宫腔问题先处理

如果有内膜息肉、粘连、肌瘤,先做宫腔镜处理掉。清除异常组织后,内膜表面更光滑,胚胎更容易着床。
除了内膜,胚胎质量也要守住
内膜准备好了,胚胎也得跟得上。
1.精子和卵子质量要在线

进周前调理身体——规律作息、均衡营养、适当运动、补充辅酶Q10(女性)和抗氧化剂(男性)——这些老生常谈的事,做对了确实有用。
2.促排方案要个性化

美国HRC采用个性化促排方案,根据年龄、卵巢储备、激素水平等因素综合考量,用药剂量和时机随时调整。卵泡长得好,取出来的卵子质量才高。
3.ICSI单精子注射提高受精率

把筛选过的优质精子直接注入卵子,受精率提高,也能减少多精受精的异常情况。
4.养囊筛选一轮

受精卵在体外培养5-6天,形成囊胚。这个过程本身就是筛选——发育潜能差的胚胎,长不到囊胚阶段就停了。
5.PGT筛查再筛一轮

囊胚形成后,取几个细胞做遗传学检测。PGT-A查染色体数目和结构,PGT-M查单基因病。筛出来的,是染色体正常、不携带已知致病基因的胚胎。
这样的胚胎放进去,着床率和活产率都会大幅度提高。

联系我们:400 111 1951
微信公众号:HRC FERTILITY官方公众号

微信视频号:HRC FERTILITY

推荐联系方式:
客服微信:15501217090
咨询电话:15501217090