
在现实生活里,我们常常能听到身边35岁+的女性,她们在事业上已取得一定成就,经济稳定,渴望迎接新生命,却无奈地在备孕之路上屡屡受挫。有些女性备孕数年,始终未能如愿;有些即使幸运怀孕,也可能因各种问题而与宝宝失之交臂。

传统认知:年龄是试管成功率的“紧箍咒”
在生殖医学领域,长久以来,年龄一直被视为影响试管婴儿成功率的关键因素,尤其是35岁,被公认为是女性生育能力的一个重要转折点。一旦女性步入35岁,试管婴儿的成功率便开始呈现出明显的下滑趋势。
从生物学角度深入剖析,随着年龄增长,女性的卵巢功能逐渐衰退。卵巢内的原始卵泡数量在女性出生时便已固定,随着年龄的增加,卵泡不断消耗,到35岁后,卵泡数量会急剧减少,卵子质量也大不如前。卵子中的线粒体是提供能量的关键细胞器,随着年龄增长,线粒体功能逐渐下降,会导致卵子在受精和胚胎发育过程中缺乏足够的能量支持,进而影响胚胎的正常发育。

同时,年龄增长还会使卵子染色体异常的概率大幅上升。35岁女性的卵子染色体非整倍体率约为30%-40%,而到了40岁,这一比例可高达60%-70%。染色体异常的卵子受精后,形成的胚胎很可能存在基因缺陷,这不仅会降低胚胎着床的成功率,即使成功着床,也容易在孕期出现流产、胎停育等不良妊娠结局,或导致胎儿患有先天性染色体疾病,如唐氏综合征等。
HRC破局:构建多维评估体系,超越年龄藩篱

面对年龄这一影响试管成功率的棘手难题,美国HRC-Fertility生殖医疗中心专家并未局限于传统的单一维度评估方式,而是凭借着深厚的专业积淀和不断创新的科研精神,另辟蹊径,构建了一套全面、科学的综合评估体系,从多个维度对高龄女性的生育力进行精准评估,力求打破年龄的桎梏,为每一位高龄求子女性量身定制适合的助孕方案。
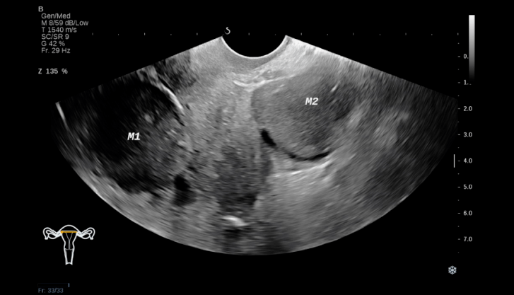
1、动态卵泡监测

传统的卵泡监测方法往往只是在特定时间点进行简单的超声检查,获取的信息较为有限。而HRC专家采用的动态卵泡监测技术,通过在整个月经周期内多次、持续地进行超声检查,能够实时、全面地追踪卵泡的生长、发育、成熟以及排卵情况。这不仅可以准确掌握女性的排卵时间,为后续的取卵手术提供理想时机,还能通过观察卵泡的形态、大小变化以及生长速度等指标,评估卵子的质量和卵巢的储备功能。例如,如果发现卵泡生长缓慢、形态不规则或数量过少时,HRC专家就会据此调整治疗方案,提前采取相应的干预措施。
2、卵巢血流评估

卵巢的血液供应对于卵子的发育和卵巢功能的维持至关重要。HRC专家会运用先进的彩色多普勒超声技术,对卵巢的血流情况进行详细评估,包括血流速度、血流量以及血管阻力等参数。通过卵巢血流评估,HRC专家能够及时发现卵巢血流异常的问题,并采取针对性的治疗措施,如改善血液循环、增加营养支持等,以提高卵巢功能和卵子质量。
3、线粒体功能指标

线粒体是细胞的“能量工厂”,对于卵子的受精、胚胎的早期发育以及着床等过程都起着不可或缺的作用。随着年龄的增长,卵子中的线粒体功能会逐渐下降,导致能量供应不足,进而影响胚胎的正常发育。HRC专家通过深入研究,发现了一些与线粒体功能相关的生物标志物,并将其纳入了综合评估体系中。通过检测这些生物标志物的水平,HRC专家可以间接评估卵子的线粒体功能,预测胚胎的发育潜能。例如,当检测到卵子中线粒体相关生物标志物水平较低时,HRC专家会建议女性在试管周期前进行针对性的线粒体功能改善治疗,如补充辅酶Q10等营养物质,以提高卵子的能量供应和质量。

通过动态卵泡监测、卵巢血流评估以及线粒体功能潜在指标等多维度的综合评估,HRC专家能够更加全面、准确地了解高龄女性的生育力状况,为后续的个性化治疗方案制定提供坚实的科学依据。这种超越单纯年龄考量的评估方式,可让每一位高龄女性都得到精准的“生育力画像”,不再因年龄数字而被简单地判定生育前景,为她们注入更多的希望和可能。

联系我们:400 111 1951
微信公众号:HRC FERTILITY官方公众号

微信视频号:HRC FERTILITY

推荐联系方式:
客服微信:hrc_service02
咨询电话:15501217090